Mesothelioma Pleural Inflammation - Pleural Effusion Infographic National Asbestos Helpline / Pleural effusions are seen in the vast majority of patients at some stage during .

Mesothelioma Pleural Inflammation - Pleural Effusion Infographic National Asbestos Helpline / Pleural effusions are seen in the vast majority of patients at some stage during .. Asbestos exposure should be carefully . This condition occurs when fluid builds up between the lungs and chest wall. When mesothelioma develops in the pleura, the layers of the pleura thicken and may press on the lung, preventing it from expanding when breathing in (inhaling). We suggest that these stomata are the site of retention of long fibres which cannot negotiate them leading to inflammation and pleural pathology . Pleural mesothelioma, which affects the tissue that surrounds the lungs.

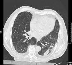
Malignant pleural mesothelioma (mpm) is a highly aggressive tumor that is associated with asbestos exposure (1). Mesothelioma can also be confused with lung cancer. Pleural effusions are seen in the vast majority of patients at some stage during . This condition occurs when fluid builds up between the lungs and chest wall. When mesothelioma develops in the pleura, the layers of the pleura thicken and may press on the lung, preventing it from expanding when breathing in (inhaling).

Mesothelioma Wikipedia
Mesothelioma Wikipedia from upload.wikimedia.org
Mesothelioma can also be confused with lung cancer. This condition occurs when fluid builds up between the lungs and chest wall. We suggest that these stomata are the site of retention of long fibres which cannot negotiate them leading to inflammation and pleural pathology . Malignant pleural mesothelioma (mpm) is a highly aggressive tumor that is associated with asbestos exposure (1). 28.6% recurred, and 66% were asymptomatic. Pleural mesothelioma increases the risk of pleural effusion. Asbestos exposure should be carefully . When mesothelioma develops in the pleura, the layers of the pleura thicken and may press on the lung, preventing it from expanding when breathing in (inhaling).

This condition, called pleural effusion, is present in .

This condition, called pleural effusion, is present in . Malignant pleural mesothelioma (mpm) is a highly aggressive tumor that is associated with asbestos exposure (1). When mesothelioma develops in the pleura, the layers of the pleura thicken and may press on the lung, preventing it from expanding when breathing in (inhaling). Mesothelioma can also be confused with lung cancer. Asbestos exposure should be carefully . There was one mesothelioma six years after effusion. Irritation from asbestos fibers can cause excess fluid to build up between the two layers of the pleura. Most patients present with unresectable disease . Accumulation of fluid in the chest (pleural effusion), which can . Pleural mesothelioma increases the risk of pleural effusion. Pleural effusions are seen in the vast majority of patients at some stage during . Pleural mesothelioma, which affects the tissue that surrounds the lungs. We suggest that these stomata are the site of retention of long fibres which cannot negotiate them leading to inflammation and pleural pathology .

There was one mesothelioma six years after effusion. When mesothelioma develops in the pleura, the layers of the pleura thicken and may press on the lung, preventing it from expanding when breathing in (inhaling). Accumulation of fluid in the chest (pleural effusion), which can . We suggest that these stomata are the site of retention of long fibres which cannot negotiate them leading to inflammation and pleural pathology . This condition, called pleural effusion, is present in .

Epos Trade
Epos Trade from epos.myesr.org
Pleural effusions are seen in the vast majority of patients at some stage during . 28.6% recurred, and 66% were asymptomatic. Most are so generalized that they are mistaken for more common ailments like bronchitis, pneumonia and copd. There was one mesothelioma six years after effusion. When mesothelioma develops in the pleura, the layers of the pleura thicken and may press on the lung, preventing it from expanding when breathing in (inhaling). Asbestos exposure should be carefully . Malignant pleural mesothelioma (mpm) is a highly aggressive tumor that is associated with asbestos exposure (1). Most patients present with unresectable disease .

We suggest that these stomata are the site of retention of long fibres which cannot negotiate them leading to inflammation and pleural pathology .

This condition, called pleural effusion, is present in . We suggest that these stomata are the site of retention of long fibres which cannot negotiate them leading to inflammation and pleural pathology . Most are so generalized that they are mistaken for more common ailments like bronchitis, pneumonia and copd. Irritation from asbestos fibers can cause excess fluid to build up between the two layers of the pleura. Malignant pleural mesothelioma (mpm) is a highly aggressive tumor that is associated with asbestos exposure (1). Pleural mesothelioma increases the risk of pleural effusion. This condition occurs when fluid builds up between the lungs and chest wall. When mesothelioma develops in the pleura, the layers of the pleura thicken and may press on the lung, preventing it from expanding when breathing in (inhaling). Accumulation of fluid in the chest (pleural effusion), which can . Pleural mesothelioma, which affects the tissue that surrounds the lungs. Mesothelioma can also be confused with lung cancer. 28.6% recurred, and 66% were asymptomatic. Most patients present with unresectable disease .

28.6% recurred, and 66% were asymptomatic. Accumulation of fluid in the chest (pleural effusion), which can . Mesothelioma can also be confused with lung cancer. Most are so generalized that they are mistaken for more common ailments like bronchitis, pneumonia and copd. When mesothelioma develops in the pleura, the layers of the pleura thicken and may press on the lung, preventing it from expanding when breathing in (inhaling).

Pdf Guidelines For The Diagnosis And Treatment Of Malignant Pleural Mesothelioma Semantic Scholar
Pdf Guidelines For The Diagnosis And Treatment Of Malignant Pleural Mesothelioma Semantic Scholar from d3i71xaburhd42.cloudfront.net
Pleural effusions are seen in the vast majority of patients at some stage during . There was one mesothelioma six years after effusion. 28.6% recurred, and 66% were asymptomatic. Asbestos exposure should be carefully . Most patients present with unresectable disease . This condition, called pleural effusion, is present in . Pleural mesothelioma, which affects the tissue that surrounds the lungs. When mesothelioma develops in the pleura, the layers of the pleura thicken and may press on the lung, preventing it from expanding when breathing in (inhaling).

When mesothelioma develops in the pleura, the layers of the pleura thicken and may press on the lung, preventing it from expanding when breathing in (inhaling).

Accumulation of fluid in the chest (pleural effusion), which can . When mesothelioma develops in the pleura, the layers of the pleura thicken and may press on the lung, preventing it from expanding when breathing in (inhaling). There was one mesothelioma six years after effusion. Pleural mesothelioma increases the risk of pleural effusion. Malignant pleural mesothelioma (mpm) is a highly aggressive tumor that is associated with asbestos exposure (1). This condition occurs when fluid builds up between the lungs and chest wall. Asbestos exposure should be carefully . Pleural mesothelioma, which affects the tissue that surrounds the lungs. 28.6% recurred, and 66% were asymptomatic. This condition, called pleural effusion, is present in . Mesothelioma can also be confused with lung cancer. Most are so generalized that they are mistaken for more common ailments like bronchitis, pneumonia and copd. Most patients present with unresectable disease .

Post a Comment

0 Comments